Spondylolisthesis

Non-surgical support for vertebral slippage, nerve compression & chronic back instability
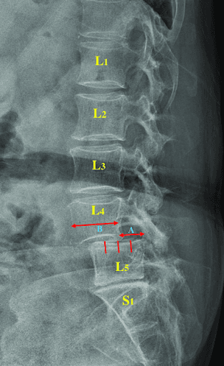
What Is Spondylolisthesis?
Spondylolisthesis occurs when one vertebra slips forward over the one below it.
This forward shift can create:
- instability in the lower back
- nerve irritation (often causing sciatica)
- difficulty bending, standing or walking
- chronic swelling and muscle tightness
It most commonly affects the L5–S1 and L4–L5 levels.
There are several types:
1. Degenerative Spondylolisthesis (most common)
Caused by disc thinning, arthritis and facet joint degeneration.
2. Isthmic (Pars Defect) Spondylolisthesis
Due to a small fracture or stress reaction in the pars interarticularis.
3. Traumatic
Following a sudden accident or sports injury.
4. Congenital
Present from birth due to altered vertebral shape.
Symptoms of Spondylolisthesis
Lower Back Symptoms
- Deep, aching lower-back pain
- Pain that worsens with standing, walking, or extension
- Stiffness on waking or after sitting
- Muscle tightness around the spine
Nerve-Related Symptoms (if compression occurs)
- Pain into the buttock, hamstring or calf
- Tingling or numbness in the leg
- Leg weakness or heaviness
- Sciatica-like symptoms
Instability Symptoms
- Feeling like the back “gives way”
- Difficulty lifting or bending
- Reduced endurance for walking or activity
What Causes Spondylolisthesis?

Ageing & Disc Degeneration
When discs thin, vertebrae shift more easily.
Arthritic Facet Joints
Worn joints may no longer stabilise the vertebra properly.
Repetitive Stress
Gymnastics, cricket fast bowling, dance and weightlifting can stress the pars region.
Poor Biomechanics
Weak core, poor posture, reduced hip mobility.
Injury or Trauma
Falls, collisions, or repetitive overextension.
Degrees of Severity
Grade I
- 0–25% forward slip
- Mild severity
Grade II
- 26–50% forward slip
- Moderate severity
Grade III
- 51–75% forward slip
- Severe
Grade IV
- 76–100% forward slip
- Very severe
Most people with Grade I–II respond well to conservative, non-surgical care.
How Spinal Decompression May Help Spondylolisthesis
Your uploaded clinical studies (Carmona, Arumugam, PMRJ, Kasimovich) support that decompression can:
- safely reduce spinal loading
- relieve pressure on affected nerve roots
- reduce inflammation in degenerating discs
- improve mobility and walking tolerance
- reduce back and leg pain
- improve spinal mechanics in degenerative cases
For degenerative spondylolisthesis, decompression can gently:
- open the nerve exit (foramen)
- reduce disc pressure
- reduce irritation of the facet joints
- improve hydration of compromised discs
Important:
Decompression does not “pull the bone back into place”, but it can reduce symptoms significantly and make daily life more manageable.
Who Is a Suitable Candidate?
You may benefit from decompression if you have:
- Grade I or Grade II spondylolisthesis
- degenerative disc disease
- sciatica or nerve irritation
- chronic lower-back pain
- pain with standing or walking
- pain relieved by sitting or bending forward
You may not be suitable if you have:
- unstable Grade III–IV slips
- acute fractures
- severe osteoporosis
- spinal tumours or infection
Every case is individually assessed.
Your First Visit: What to Expect
1. Detailed Examination
- lumbar neurological testing
- reflex and strength testing
- movement assessment
- posture and gait analysis
- straight leg raise and slump tests
- review of MRI or X-ray
2. Diagnosis & Candidacy Screening
We determine:
- the grade of your spondylolisthesis
- whether decompression is safe
- which level requires unloading
3. Customised Treatment Plan
May include:
- lumbar spinal decompression
- gentle chiropractic adjustments
- core stabilisation
- pelvic alignment and hip mobility training
How Many Sessions Are Recommended?
Typical programs include:
- 2–3 sessions/week
- 6–10 weeks of progressive care
Results vary depending on the grade, age, activity level and overall disc health.
Frequently Asked Questions
Can spondylolisthesis heal?
Isthmic (pars fractures) in children can heal; degenerative slips do not reverse but symptoms can improve dramatically.
Is decompression safe for spondylolisthesis?
Yes — when parameters are customised. It is commonly used for Grade I–II.
Do I need surgery?
Most people with low-grade slips manage well without surgery.
Is it normal for pain to worsen with standing?
Yes — extension loads the facets and narrows nerve space.
Can I exercise with spondylolisthesis?
Yes, with guidance. Core stability and hip mobility are essential.
Book a Spondylolisthesis Assessment
If lower-back instability, stiffness or leg pain are affecting your daily life, our team can determine whether decompression is suitable for you.
➡️ Book Your 40-Minute Decompression Assessment Today
(Assessment + report + first session if indicated)